Cosméticos

Nunca usado

Desconto de 23% no dental
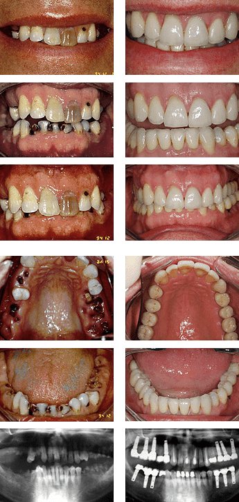
Plano da Dental Uni com desconto de 23% Pessoa física R$ 40,35 Pessoa jurídica R$ 18,08 Cobre: Alguns tipos de prótese APARELHO Limpeza São quase 265 procedimentos!!!!

QUEM Já SE APEGOU

R$

Negociar!

O vendedor cadastrou esse desapego apenas como mostruário e negociação. Não sendo possível a compra online.

Este vendedor aceita pagamento online por nossa central de transaçõess finaneiras. Vá em frente. É 100% seguro. Veja como funciona.

Identificação

Resumo do desapego

Desconto de 23% no dental

  • Preço R$ 41,00

  • Frete R$

  • Total R$ 41,00

Luis Araujo

4835

Endereço para entrega

Endereço

Bairro

Número

Cep

Estado

Cidade

Zona de Segurança

Escolha a forma de pagamento

Cartão de Crédito

Parcele em até 12 vezes

Boleto Bancário

Só para pagamentos à vista

Nome completo (Impresso no cartão)

Número do cartão

Cód. segurança

Data de validade

CPF do dono do cartão

Data de nascimento do portador do cartão de crédito.

Parcelas

Comprar =)

Questionamentos ?

Comentar